목록으로 돌아가기
Q
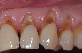
건강 상담 질문치경부파절증
치경부마모증 레진 신경치료 (부산 동대신동 30대 중반/남 치경부파절증)
치경부마모증때문에 떼웠는데도 시려요. 신경치료 각인가요?

의사 답변 (1)
답변완료안녕하세요, 닥톡-네이버 지식iN 상담치과의사 최정혁입니다.
원인이 치경부마모때문이라면 시린이치약 쓰시면서 더 지켜보기도 합니다.
다만 시린 증상이 일반 치경부 마모보다 심하거나 그 외의 원인으로 시릴시에는 원장님 진단하에 신경치료를 들어가는 경우도 있습니다.
치경부쪽을 떼워드린후 에칭,본딩으로 인해서 더 지각과민이 생길수는 있습니다.
시간이 지나면 줄어들기는 한데, 추가로 시림증상 체크하면서 교합조정도 할수있고, 시림증상 호소하는 치아 주변으로 지각과민처치 약재를 도포해주고 있습니다.
증상이 줄어들지 않는 경우에, 마지막으로 신경치료를 들어가기도 합니다.

